At Centre Street Dental, we understand the embarrassment and frustration that comes from missing one or more teeth. We want our patients to fall in love with their smiles again, including restoring their ability to enjoy their favourite foods, speak clearly and precisely, and laugh without worry.
With dental implants, we can restore your missing teeth and eliminate any gaps. Our Casino, NSW dental practice remains abreast of modern dental advancements so that we can offer high-quality dental implants.
A gap in your smile can impact all areas of your life—from your diet to how people remember you. Your ability to eat healthy foods, the way you speak, and your general oral health are all affected. Underneath the surface, your jaw bone will start to recede without a tooth root to hold it in place, and your neighbouring teeth will shift towards the space left by the tooth.
Dr Greg Normoyle can recommend a trusted, local specialist for the surgical procedure who can address these issues and bring back the smile you always loved.
What Are Dental Implants?
Unlike dentures that can shift or fall out, dental implants fuse to your jaw bone through a straightforward surgical procedure.
Unlike other tooth replacement options that sit on top of your gum line, dental implants restore your tooth all the way down to the root. This replacement tooth root stimulates bone growth and stops your jaw bone from receding and creating facial sagging.
Dental implants are very thin titanium screws that are biocompatible, meaning they will not be rejected by your body. After the placement of the implant by the specialist, the site is left for three months to allow the bone to fuse to the implant. Once this is achieved, Dr Normoyle will complete the treatment by placing a dental crown onto the implant.
The Many Advantages to Having Dental Implants
There are numerous benefits of dental implants, a few being:
- Restored ability to eat meats, vegetables, and everything you could wish for
- No more concerns about your replacement tooth shifting or falling out
- Easy maintenance
- Durable enough to last many years
- Better oral health
How the Dental Implant Procedure Looks Like
Missing one or more teeth is not the end of the world, we can help get you to the place you want to be with your oral health. We invite you to arrange an appointment with Dr Normoyle in Casino, NSW. We will be able to go over your medical history, look at your teeth and gums, go over your tooth replacement alternatives, and determine if dental implants are a good option for you.
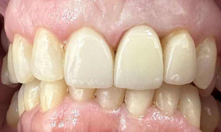
We craft beautiful and natural-looking dental implant restorations.
The dental implant surgery is comfortable and straightforward, our specialists do their best to keep our patients as relaxed and comfortable as they can be. They will apply anesthetics and work with patients to make sure they feel secure and relaxed. 
After the surgery, we wait for the implants to fuse to the jaw bone. Patients who are missing multiple teeth can choose to have implant-supported dentures—these typically require four to six implant placements.
We Invite You to Arrange an Appointment with Us
If you are ready to take the next step in your smile journey, give us a call at 02-6662-8585.