Living through your daily life with decayed, cracked, or missing teeth can be challenging and consuming. Day-to-day functions like eating and chewing can be complicated, along with speaking clearly and even smiling. Many patients might also feel uncomfortable with how a gap in their smiles might look to strangers or people in their lives.
At Centre Street Dental, we provide necessary dental services like dental crowns and bridges for patients in Casino, NSW and surrounding communities. We are there for patients who are interested in custom-fabricated restorations to bring back their smiles. Dr Greg Normoyle bring together art and science in a harmonious balance to create high-quality, reliable dental crowns and bridges.
Teeth are created to be durable and endure tremendous biting force, but even the strongest substances are susceptible to erosion, tooth decay, teeth grinding, and poor oral habits.
What Are Dental Crowns?
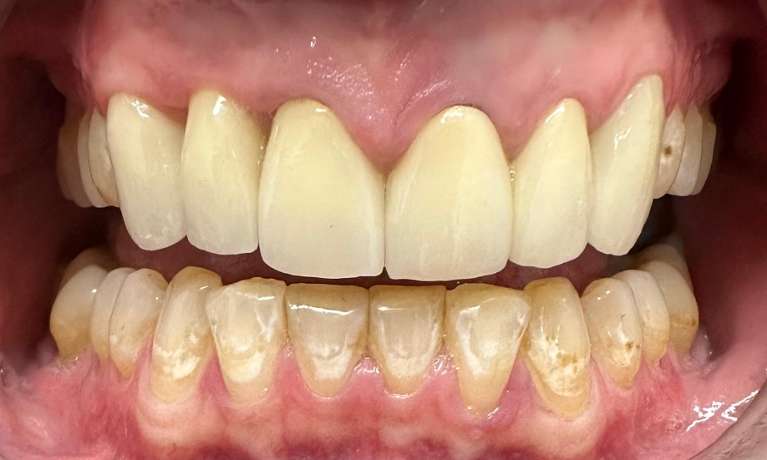
Dental crowns protect weakened and damaged teeth by covering the entire tooth, down to the gum line. The protected tooth can now easily bite down and chew without pain or fear of infection, further cracking, or any damage.
Dental crowns help strengthen, cover, and stabilise many different oral health problems, including:
Cavity that is too large for a filling
Chipped or fractured teeth
Broken tooth
Enamel erosion from grinding teeth
After a root canal procedure
The visible portion of a dental implant
A stained tooth that is resistant to professional teeth whitening
Dental crowns typically take two to three weeks from start to finish, and many require two dental visits to our Casino dental practice. During our first dental appointment, our cosmetic dentist will prepare the tooth and construct a provisional crown. We will also take digital impressions to help make an accurate fit. Our dentists will place the provisional dental crown until the permanent crown is fabricated.
We craft our dental crowns to blend in seamlessly; no one will be able to tell you have a dental restoration.
Are You Missing One or More Teeth?
Tooth loss is not an uncommon oral health problem, but without being addressed, it can easily lead to further tooth loss. When there is a space in your smile, existing teeth tend to shift towards the gap. Every tooth fulfils a role and function; when one tooth goes missing, it often creates a lot of strain and pressure on the remaining teeth.
At Centre Street Dental, we offer tooth replacement options for patients who are interested in filling in gaps.
Dr Normoyle may recommend a dental bridge for one or multiple missing teeth. Bridges are secured to neighbouring teeth and close the gap with a dental crown to look natural.
Like a dental crown, bridges typically take three weeks and require at least two dental visits.
We Can Help Protect or Restore Your Teeth
We are here for our neighbouring communities, including Shannon Brook, Tatham, Greenridge, Leeville, and more. We are here to help patients and their families address cracked, broken, decayed, or missing teeth. Arranging an appointment with us is very simple.
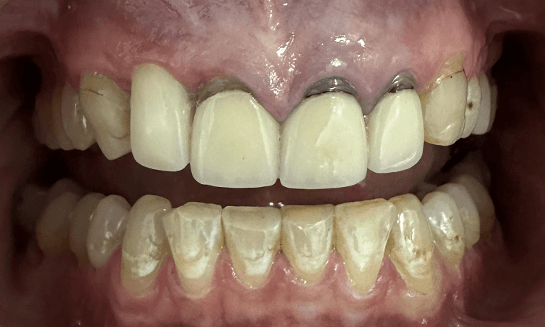
Crowns are used to protect weakened teeth and reduce the chance of the teeth splitting. Teeth can become weak for a number of reasons. As soon as a tooth has a filling in it, its strength has been compromised. Small fillings have little impact but once more than half of the tooth is filling, then its structural integrity is in question. Root canal treated teeth are also compromised structurally and are far more prone to catastrophic fracture. Placing crowns on these teeth significantly reduces the risk of fracture and subsequent tooth loss.
Crowns are the strongest restoration that can be put into someone’s mouth. However, even crowns can chip or break over time. If this happens it is important to see your dentist to have the crown and the tooth underneath evaluated so that a treatment plan can be established. At Centre Street Dental in Casino, this is generally done as part of our active maintenance appointment. Crowns, like teeth and gums, need checking regularly to make sure that they are still able to do the job that they were made for and not becoming a trap for plaque and food because they are chipped or breaking.
If you have crowns in your mouth and it has been a while since your last dental examination, call us for an appointment and Dr Greg Normoyle can thoroughly examine your mouth including your crowns.
Chipped and worn teeth are often unsightly and can lead to a genuine lack of self confidence. The causes of chipping and wearing are varied and as such there are a range of treatments available. Small chips can usually be repaired by some simple bonding procedures.
Sometimes the teeth are not aligned properly and this can lead to unusual wear patterns in the teeth. At Centre Street Dental, our Invisalign Go system may be able to be used to realign the teeth prior to reshaping and restoring the teeth with bonding or porcelain veneers. If the wear is severe, then more extensive reconstructive work may be necessary.
At Centre Street Dental, we believe that it is important that our patients should know all of the available options and the pro’s and con’s of each of these options. It is only then that a truly informed decision can be made.
At Centre Street Dental in Casino, our cosmetic treatments range from simple ‘at home’ whitening through to full smile design and reconstruction. If you have had braces in the past and now have some relapse tooth movement, we can use our ‘Invisalign Go’ system to re- straighten the teeth. Chipped and worn front teeth can be restored using tooth coloured bonding techniques or porcelain veneers or crowns. The range of treatments is vast and can suit nearly any budget.
Dr Greg Normoyle can complete a digital scan of your mouth and develop a digital smile design which can be transferred to your mouth using 3D printing technology. Then it is simply a matter of deciding what is right for you.
If you would like to know what cosmetic treatments would best suit you, call us today to organise a consultation.
Dental crowns are useful in many dental scenarios. Dr Greg Normoyle may recommend a dental crown if your tooth is damaged by severe decay or has cracked because of an injury.
Sometimes, patients ask for dental crowns are used as part of a cosmetic smile makeover treatment to transform a stained or a misshapen tooth that is detracting from the beauty of the smile.
Procedure for Dental Crowns in Casino, NSW
Before we begin the process of the dental crown, our cosmetic dentists may recommend one due to a weakened or broken tooth. We try to use the least invasive option whenever possible, especially if we can save your natural tooth. A dental crown keeps your natural tooth safe and protected and allows you to eat your favourite foods again without worrying about biting down on your tooth.
Patients always have the final say; we do our best to educate and inform.
Are You Interested in Learning about Dental Crowns?
If you are troubled by a broken or cracked tooth and want to fix your smile, we invite you to call today to call Centre Street Dental to arrange a consultation with our cosmetic dentists.
Greg has over 35 years' experience as a dentist and has been practicing in Casino for 33 of those years.
After practicing at 122 Centre Street for 20 years, Greg built a new architecturally designed surgery in 2010 next door at 124 Centre Street. The new building accommodated for the ever-expanding patient base whilst also allowing for the inclusion of the newest technologies available. This has resulted in even better patient experience.
Greg is a passionate advocate for continuing education and attends many courses throughout each year to keep his skills and ...
Smile Restorations Made Easy with Crowns and Bridges in Casino, NSW
Life can take a toll on your teeth, so when you have dental imperfections, it can affect more than just your appearance. If you have missing, chipped or damaged teeth, it can impact your ability to eat your favourite foods and cause your self-confidence to plummet.
Beyond Aesthetics: The Functional Benefits of Dental Bridges
Dental bridges are a popular solution for improving the appearance of your smile and enhancing one's ability to chew and speak. At Centre Street Dental in Casino, NSW, we emphasise the comprehensive benefits dental bridges can offer. Here's an in-depth look at how dental bridges can significantly improve one's ...
At Casino Dental, we prioritize a proactive approach to dental health and often recommend dental crowns to our patients. Dental crowns can protect weakened teeth and reduce the risk of tooth loss. Teeth can become weak due to various reasons, such as fillings or root canal treatment. Placing crowns ...
Patient education is essential to us; we help guide patients in making informed and educated decisions regarding their oral health. Rather than just describing your oral condition to you, we find it more effective to show patients what our own dentists see when they look inside your mouth.
This piece of technology has been the biggest game changer in our practice in terms of the services that we can offer our patients. Our digital scanners remove the need to take messy and uncomfortable moulds of your mouth. These scanners take highly accurate 3D images of the teeth.
We use these scans in the construction of crowns, bridges or implant crowns. We can also scan your mouth to digitally create a new smile for our Smile Makeover patients. This leads to more predictable results and happier patients.